Los ovarios son dos estructuras de 3x2 cms que están a ambos lados del útero cerca de la parte distal de la trompa. Cada uno está sostenido por tres ligamentos que lo mantienen en posición y es el equivalente embriológico de los testículos.
La función principal de los ovarios es la de producir las hormonas femeninas y liberar el óvulo todos los meses, durante el proceso de reproducción. Durante la vida intrauterina los ovarios tienen alrededor de 7 millones de células capaces de producir óvulos (oogonias). Para el momento del nacimiento sólo quedan 400.000 células (oocitos primarios), que se mantienen inactivas hasta la pubertad.
|
Los ovarios producen tres hormonas: estrógenos, progesterona y testosterona, cada una de las cuales tiene funciones diferentes que se analizan a continuación.
- Estrógenos. El ovario produce tres estrógenos (estradiol, estrona y estriol), el más importante es el estradiol, responsable del crecimiento de los genitales internos, la maduración de los genitales externos, el depósito de grasa en sitios adecuados para resaltar la feminidad y el desarrollo de las mamas. En el proceso de reproducción, los estrógenos son responsables del crecimiento del endometrio y la producción del moco del cuello uterino, que favorece la penetración de los espermatozoides.
- Progesterona. Es producida en grandes cantidades después de la ovulación por el cuerpo lúteo, también llamado cuerpo amarillo por su color característico. Esta estructura se forma después de la ruptura del folículo y liberación el óvulo. La progesterona es la responsable del mantenimiento de la segunda fase del ciclo menstrual y del embarazo. Si no ocurre la implantación del embrión, el cuerpo amarillo se atrofia y viene la regla. Si hay embarazo continúa sus funciones hasta el tercer mes de gestación en que la placenta se encarga de la producción de progesterona.
- Testosterona. Es la hormona masculina pero es también producida en menores cantidades por los ovarios. Se considera la hormona de la sexualidad y en gran parte es la responsable de la libido en la mujer.
|
En la menopausia ocurren los siguientes cambios responsables de los cambios típicos de la postmenopausia:
Cesa la producción de estrógenos y se suspenden las reglas.
No hay producción de progesterona porque no hay ovulación.
Disminuye la producción de testosterona y ocurre una disminución de la libido o del apetito sexual.
Los ovarios adquieren un aspecto parecido a un cerebro y disminuyen considerablemente de tamaño.
AFECCIONES DE LOS OVARIOS:
Quistes ováricos
No te preocupes si en una ecografía vaginal o pélvica de rutina, el ginecólogo te informa que tienes los ovarios llenos de pequeños quistes.
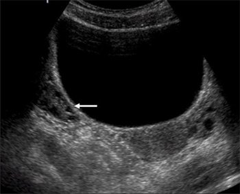
Los quistes ováricos son una de las afecciones más frecuentes en las mujeres de todas las edades. Aparecen afectando uno o ambos ovarios, sus tamaños van desde menos de 2 mm hasta decenas de centímetros y su número varía desde un solo quiste hasta incontables quistes.
 |
Los quistes se forman en los folículos ováricos, los cuales son los encargados de producir el óvulo. Las ecografías convencionales muchas veces confunden estos folículos normales con quistes y muchísimas pacientes han sido operadas innecesariamente. |
Aunque se manifiestan por síntomas diferentes, pueden ser totalmente asintomáticos en un comienzo, por lo que su detección temprana aumenta las posibilidades de curación sin recurrir a medidas extremas como la cirugía. Los síntomas más comunes, cuando los hay, de los quistes ováricos son: dolor, inflamación del abdomen bajo, aumento, endurecimiento o oscurecimiento del vello, acné (barros). Los orígenes más comunes de los quistes ováricos son la endometriosis, las alteraciones de la circulación pélvica, las inflamaciones e infecciones y problemas hormonales. Es por eso muy importante la visita periódica al ginecólogo, para tratar de descubrir y detectar a tiempo las diferentes alteraciones en los OVARIOS.
La mala información que a veces damos a nuestras pacientes, es la principal causa de angustia en las mismas. En adolescentes y mujeres en edad reproductiva, es muy frecuente encontrar ovarios con múltiples folículos o pequeños quistes. Muchas veces no hay ninguna sintomatología o queja de la paciente y en estos casos, no se formula nada. Si hay deseo de fertilidad, se iniciará el tratamiento respectivo para favorecer la ovulación.
No hay que hacer cirugía, y solo en algunos casos cuando se practique laparoscopia, se pueden drenar estos “quistes” aplicando una técnica de RADIOFRECUENCIA, que es parecida al LÁSER.
Mira estas fotos:
Cáncer de Ovarios
Los ovarios son órganos muy pequeñitos y cuando se inicia el cáncer, desgraciadamente no se puede detectar a tiempo y solo cuando el tumor alcanza grandes tamaños y el ginecólogo practica en tacto vaginal y los detecta, a veces ya es demasiado tarde. Cada vez están surgiendo nuevas pruebas para tratar de detectar en forma muy temprana, la presencia de cáncer en los ovarios. Por eso es muy importante la consulta y la ecografía vaginal anual y en base a esto, se practicarán exámenes adicionales si así lo amerita.
Adherencias de los Ovarios
A veces cuando se presentan infecciones pélvicas que comprometen las trompas y los ovarios, cuando el proceso ya ha sido tratado, quedan secuelas, llamadas ADHERENCIAS, que yo las comparo y se las explico a mis pacientes como cuando van caminando y pisan un chicle en el suelo, y al levantar el pie se observan esas formas alongadas y elásticas.
|